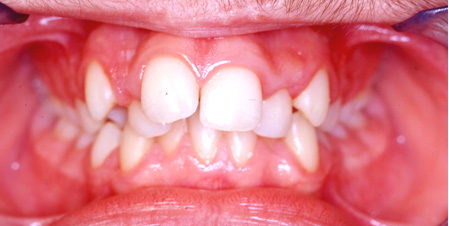
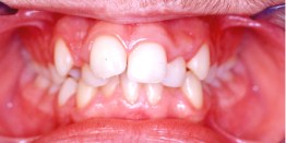
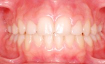
Παιδί: Σκελετικά στενή άνω γνάθος Πρίν τη θεραπεία-Συνωστισμός με στενό οδοντικό τόξο Μετά τη θεραπεία Κοινοποιήστε: Μοιραστείτε στο X(Ανοίγει σε νέο παράθυρο) Χ Mοιραστείτε στο Facebook(Ανοίγει σε νέο παράθυρο) Facebook Μου αρέσει! Φόρτωση...