ΜΙΧΑΛΗΣ ΒΑΣΟΓΛΟΥ DDS,MSc,Dr Dent

ειδικός ορθοδοντικός

Βασικό μενού

Μετάβαση στο περιεχόμενο
  • Αρχική
  • ΓΝΩΡΙΣΤΕ ΤΟΝ ΟΡΘΟΔΟΝΤΙΚΟ
    • Βιογραφικό
  • Επιστημονικές δημοσιεύσεις
  • Η ΟΡΘΟΔΟΝΤΙΚΗ ΕΙΔΙΚΟΤΗΤΑ
  • ΤΟ ΙΑΤΡΕΙΟ
    • Χώρος Εξέτασης
    • Υποδοχή και Αίθουσα αναμονής
    • χώρος γραφείου
    • Εργαστήριο-χώρος αποστείρωσης
  • ΠΡΟΣΦΕΡΟΜΕΝΕΣ ΥΠΗΡΕΣΙΕΣ
    • Διάγνωση-σχεδιασμός θεραπείας
    • Θεραπείες σε παιδιά
    • Θεραπείες σε ενήλικες
  • ΟΡΘΟΔΟΝΤΙΚΗ ΓΙΑ ΕΝΗΛΙΚΕΣ
    • Θεραπείες με αισθητικά άγγιστρα
    • Θεραπείες με αισθητικούς νάρθηκες
    • Θεραπείες με εσωτερικά (γλωσσικά) άγγιστρα
    • Περιστατικά με ειδικά προβλήματα (περιοδοντική νόσος)
    • Ενήλικες πρίν και μετά
  • ΟΡΘΟΔΟΝΤΙΚΗ ΓΙΑ ΠΑΙΔΙΑ
    • Πρώτη εξέταση
    • Θεραπεία έξεων (π.χ έξη δακτύλου)
    • Θεραπείες Α φάσης
    • Ολοκληρωμένες θεραπείες με ακίνητους μηχανισμούς («σιδεράκια»)
      • Περιστατικά με προβλήματα συνωστισμού
    • Παιδιά-Έφηβοι, πρίν και μετά
  • ΠΑΡΑΔΕΙΓΜΑΤΑ ΘΕΡΑΠΕΙΩΝ ΜΕ ΣΚΕΛΕΤΙΚΑ ΠΡΟΒΛΗΜΑΤΑ
    • Παιδί: Σκελετικά στενή άνω γνάθος
    • Παιδί:περιστατικό με σκελετικό πρόβλημα οπισθογναθισμού της κάτω γνάθου
    • Ενήλικας: οπισθογναθισμός άνω γνάθου και σκελετικά στενή άνω γνάθος (χειρουργική προώθηση άνω γνάθου)
    • Ενήλικας: Οπισθογναθισμός κάτω γνάθου (χειρουργική προώθηση κάτω γνάθου)
    • Ενήλικας: Περιστατικό οπισθογναθισμού άνω γνάθου με προγναθισμό κι ασυμμετρία της κάτω γνάθου
  • ΕΙΔΙΚΕΣ ΤΕΧΝΙΚΕΣ
    • Ορθοδοντικά μικροεμφυτεύματα
    • Θεραπεία για την επαναφορά στη θέση του, ενός υπερεκφυμένου δοντιού χωρίς σιδεράκια και μόνο με τη χρήση ορθοδοντικών μικροεμφυτευμάτων
  • ΕΠΙΚΟΙΝΩΝΙΑ

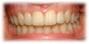
Ενήλικες πρίν και μετά



 

 

Κοινοποιήστε:

  • Μοιραστείτε στο X(Ανοίγει σε νέο παράθυρο) Χ
  • Mοιραστείτε στο Facebook(Ανοίγει σε νέο παράθυρο) Facebook
Μου αρέσει! Φόρτωση...

INVISALIGN-ΔΙΑΦΑΝΕΙΣ ΝΑΡΘΗΚΕΣ

Διαφανείς νάρθηκες για θεραπείες χωρίς τα κλασικά "σιδεράκια"

INCOGNITO

εσωτερικά (γλωσσικά) σιδεράκια με την τεχνική incognito

ΧΑΡΤΗΣ ΠΡΟΣΒΑΣΗΣ: ΜΑΤΖΑΓΡΙΩΤΑΚΗ 74 17676 ΚΑΛΛΙΘΕΑ

Follow ΜΙΧΑΛΗΣ ΒΑΣΟΓΛΟΥ DDS,MSc,Dr Dent on WordPress.com
Blog στο WordPress.com.
Απόρρητο & Cookies: Αυτός ο ιστότοπος χρησιμοποιεί cookies. Συνεχίζοντας να χρησιμοποιείς αυτόν τον ιστότοπο, συμφωνείς με τη χρήση τους.
Για να μάθεις περισσότερα, συμπεριλαμβανομένου του πώς να ελέγχεις τα cookies, δες εδώ: Πολιτική Cookies
  • Εγγραφή Εγγεγραμένος
    • ΜΙΧΑΛΗΣ ΒΑΣΟΓΛΟΥ DDS,MSc,Dr Dent
    • Έχεις ήδη λογαριασμό στο WordPress.com; Συνδέσου τώρα.
    • ΜΙΧΑΛΗΣ ΒΑΣΟΓΛΟΥ DDS,MSc,Dr Dent
    • Εγγραφή Εγγεγραμένος
    • Δημιουργία λογαριασμού
    • Σύνδεση
    • Αντιγραφή συντόμευσης συνδέσμου
    • Αναφορά περιεχομένου
    • Δες το άρθρο στον Αναγνώστη
    • Διαχείριση συνδρομών
    • Σύμπτυξη μπάρας
 

Φόρτωση σχόλιων...
 

    %d