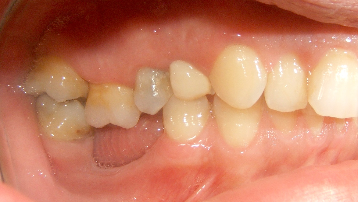
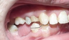
Θεραπεία για την επαναφορά στη θέση του, ενός υπερεκφυμένου δοντιού χωρίς σιδεράκια και μόνο με τη χρήση ορθοδοντικών μικροεμφυτευμάτων Μετά τη θεραπεία Εμβύθιση με τη χρήση δύο μικροεμφυτευμάτων (ενός παρειακά και ενός υπερώϊα)χωρίς «σιδεράκια» Αρχική κατάσταση-υπερεκφυμένος γομφίος Κοινοποιήστε: Μοιραστείτε στο X(Ανοίγει σε νέο παράθυρο) Χ Mοιραστείτε στο Facebook(Ανοίγει σε νέο παράθυρο) Facebook Μου αρέσει! Φόρτωση...