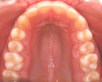
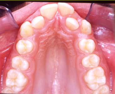
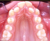
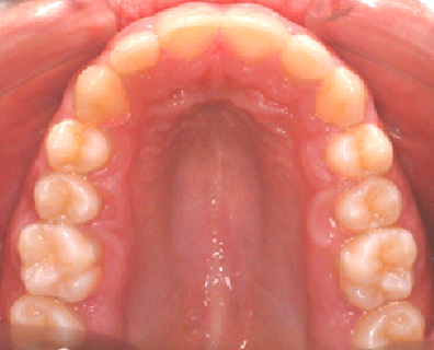
Περιστατικά με προβλήματα συνωστισμού Πρίν τη θεραπεία-Στενό άνω οδοντικό τόξο Μετά τη θεραπεία με διεύρυνση της άνω γνάθου Κοινοποιήστε: Μοιραστείτε στο X(Ανοίγει σε νέο παράθυρο) Χ Mοιραστείτε στο Facebook(Ανοίγει σε νέο παράθυρο) Facebook Μου αρέσει! Φόρτωση...