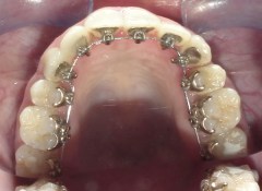
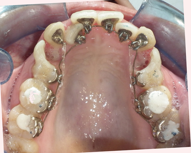
Θεραπείες με εσωτερικά (γλωσσικά) άγγιστρα


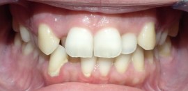
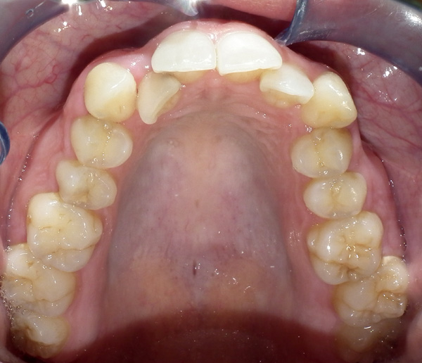
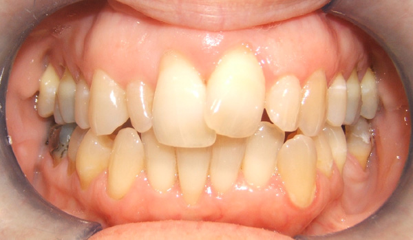
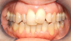
      1.  Περιστατικό με έντονη στροφή του δεξιού άνω κεντρικού τομέα.

                                                       Αντιμετωπίσθηκε με εσωτερικά σιδεράκια.

 

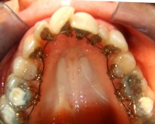
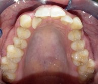
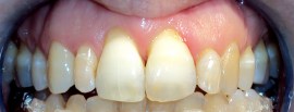
2.    Περιστατικό με έλλειψη χώρου για τους πλαγίους τομείς.

Αντιμετωπίσθηκε με εξαγωγές των πρώτων προγομφίων και εσωτερικά σιδεράκια

 

 

 

 

 

 

 

 

 

 

 

 

 

 

 

 

 

 

 

Σχολιάστε